Durante la visita analizzeremo in dettaglio la diagnosi del tuo problema. Ti proporremo il servizio più adatto alla soluzione, e decideremo insieme come procedere!
Scopri in dettaglio i nostri servizi principali!
Nel nostro studio eseguiamo ogni trattamento che possa risolvere il tuo problema.
La chirurgia orale è la parte della chirurgia maxillo-facciale che riguarda il cavo orale.
L'odontoiatra può praticare la chirurgia dopo una specializzazione post-laurea in Chirurgia
Odontostomatologica.

Nella chirurgia orale rientrano numerosi interventi odontoiatrici, tra i quali:
La chirurgia orale negli ultimi anni si è evoluta in maniera esponenziale. Riusciamo oggi ad ottenere soluzioni per le più svariate patologie e risultati che fino a poco tempo fa erano impensabili!
In particolare, la terapia del dolore sia durante l'intervento che post-operatorio: con le nuove tecnologie viene quasi totalmente azzerato!
Il nostro consiglio in questi casi è quindi quello di sentire il parere di diversi dentisti: non tutti sono infatti aggiornati alle ultime novità, e le nuove tecnologie di trattamento possono differire molto da quelle praticate solo pochi anni fa!

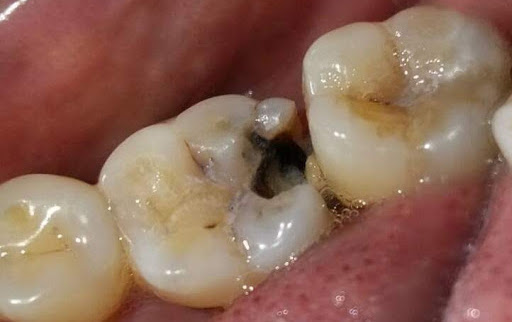
L'odontoiatria conservativa si occupa in sostanza della cura dei denti colpiti da carie.
Questo comprende sia le procedure per l'eliminazione della carie che quelle relative alla chiusura delle
cavità provocate dall'eliminazione della dentina cariata e dello smalto, tramite l'utilizzo di appositi
materiali.
E' detta conservativa in quanto si tende a conservare il più possibile le strutture dentali residue colpiti dalla carie. Si cerca cioè di avere un approccio di minima invasività.
Il materiale di restauro viene legato direttamente al tessuto sano.
In passato venivano usate amalgame d'argento, ma ora sono state totalmente abbandonate a favore dei
Compositi.
Questo non solo per il loro aspetto antiestetico rispetto ai materiali moderni, ma anche perchè le vecchie
amalgame vengono ora ritenute dannose a causa della presenza di metalli pesanti tra i quali il mercurio.
I materiali compositi attuali invece, oltre ai vantaggi di maggior resistenza e durata, hanno la caratteristica di essere molto simili allo smalto del dente, creando un effetto di ricostruzione perfetta e del tutto simile ai denti sani.

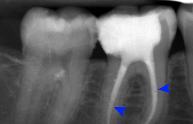
L'Endodonzia è il settore dell'odontoiatria che tratta la terapia dello spazio interno dell'elemento dentale, cioè la polpa dentaria che comprende vasi sanguigni e centri nervosi.
Si ricorre ad essa nei casi in cui la carie o anche altri traumi provochino lesioni talmente profonde da interessare appunto il tessuto pulpare (più noto come nervo del dente).
In questi casi si agisce in maniera diversa dalla conservativa, e l'intervento più frequente è
la Cura Canalare, cioè si procede alla
devitalizzazione del dente.
Ma con le moderne procedure, anche con una cura canalare si ottengono risultati eccellenti sia dal punto di
vista curativo che estetico.
Come si procede?
La cura canalare (o Devitalizzazione) consiste nella rimozione del nervo dentale infetto
o infiammato, e nella sua sostituzione con un'otturazione permanente composta da un cemento canalare
autoindurente e una gomma termoplastica (guttaperca).
Dopo aver ricostruito la corona, il risultato è un dente che non sarà più un serbatoio di batteri soggetto a possibili infezioni, ma una struttura che svolgerà le stesse funzioni di un dente sano!

La parodontologia si occupa di trattare i problemi dei tessuti molli, come le gengive e i legamenti periodontali, e i tessuti duri (tessuto osseo alveolare), che garantiscono la stabilità del dente nell'arcata alveolare.
Più in generale, si occupa delle classiche malattie del parodonto, come la piorrea, le parodontiti e le gengiviti.
La causa principale di queste malattie è l'accumulo di batteri tra gengiva e dente.
Non sempre provocano dolore, ma causano gonfiori, arrossamenti o in certi casi sanguinamenti delle gengive. In
alcuni casi si può avere la percezione di denti non stabili e "dondolanti".
Le cure per rimediare a questi problemi variano a seconda dei casi. Con le moderne tecnologie riusciamo oggi ad ottenere risultati impensabili fino a pochi anni fa!
Per i tuoi denti e per il tuo sorriso è meglio avere un parere in più, diverso dal tuo solito dentista. Poi potrai decidere in libertà, con un quadro completo delle informazioni che ti servono!
Scegli di non essere più un paziente passivo, ma di avere un rapporto di
piena collaborazione col tuo dentista: ti illustreremo le opzioni utili a risolvere il tuo
problema e pianificheremo insieme la miglior soluzione!
Chiama, e prenota ora il tuo appuntamento!