Implantologia

 

L'Implantologia Dentale permette di sostituire elementi dentari mancanti con dei perni artificiali (radici), solitamente in titanio.
Tale perno, dopo un breve processo biologico (Osteointegrazione), si integra perfettamente con l'osso e diventa un ottimo punto di ancoraggio per il dente artificiale sostitutivo (corona).

Perchè è importante l'innesto di un impianto per un dente mancante?

E' importante la sostituzione con un impianto in titanio perchè la mancanza di un elemento dentario porta una naturale riduzione delle funzioni masticatorie: questo influenza la funzione dell'osso mascellare sottostante, causando nel tempo una perdita di massa e densità.

L'inserimento di un impianto è invasivo o doloroso?

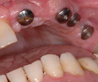
Implantologia Dentale 

Il trattamento non è assolutamente doloroso, in quanto viene svolto tramite anestesia locale, con anestetici appositamente sviluppati per la chirurgia orale.
In seguito al trattamento di implantologia, vengono prescritti tutti i farmaci eventualmente necessari al fine di controllare efficacemente l’insorgenza di dolore post-operatorio.

Fino a qualche anno fa i metodi più usati per la sostituzione di un singolo dente erano:

  • Una protesi dentale parziale rimovibile.
  • Un ponte dentale su due denti adiacenti.

Al giorno d'oggi tali metodi sono stati quasi interamente sostituiti dall'implantologia, sostituendo il dente mancante con l'impianto in titanio. Tale soluzione, oltre ad essere la meno invasiva garantisce una stabilità e una durata non ottenibili con altri metodi.

Come si svolge il trattamento chirurgico di implantologia?

Ci sono due metodologie per l'inserimento dell'impianto:

Tecnica Convenzionale

Si applica somministrando un'opportuna anestesia locale. Poi la gengiva viene aperta e scollata con il bisturi.
In questa sede viene praticato un foro con un'opportuna fresa e viene inserito l'impianto nell'osso.
Dopodichè la gengiva viene chiusa applicando dei punti di sutura, che verranno tolti dopo 7 - 10 giorni.

 

Invito sull'osso
Invito sull'osso
Preparazione della filettatura
Preparazione della filettatura

Inserimento dell'impianto
Inserimento dell'impianto
Impianto finito
Impianto finito
 

 

 

Tecnica Transmucosa

A differenza della tecnica convenzionale, si pratica un foro con delle frese direttamente sulla gengiva e si inserisce l'impianto nell'osso evitando di tagliare la medesima tramite il bisturi.

Una volta che le viti si osteointegrano (cioè si crea tramite processo biologico un corpo unico fra osso e vite) sono pronte a supportare uno o più denti artificiali.

 

L'inserimento della protesi dentaria (corona) può avvenire subito (carico immediato) o dopo qualche mese per far avvenire l'osteointegrazione (carico ritardato).

Carico Ritardato

Avviene in due fasi distinte:

  1. L'impianto in titanio viene inserito nell'osso. Viene applicata una vite (detta vite di guarigione) all'estremità dell'impianto, che chiude il foro dell'impianto affiorando sulla gengiva.
    Poi si attende un periodo di circa 2-3 mesi per permettere il processo di osteointegrazione, e quindi l'adattamento dell'impianto alla gengiva.
  2. Dopo il periodo di adattamento, si toglie la vite di guarigione e viene avvitato il pilastro sul quale viene cementato dapprima la protesi provvisoria, e poi la corona definitiva.

Carico Immediato

L'intervento di implantologia a carico immediato avviene inserendo la corona protesica provvisoria nella stessa seduta dell'inserzione dell'impianto.

Apparecchiatura per inserimento impianti
Apparecchiatura per inserimento impianti

 

Questa modalità evita al paziente problemi estetici durante il periodo di cura, e viene effettuata per le zone dentali più visibili.
La corona definitiva verrà inserita dopo 2-3 mesi. In questo periodo va evitata la masticazione nella parte provvisoria. Questo sia per evitare problemi all'impianto, sia per favorire l'osteointegrazione.

 

In alcuni casi può succedere che l'osso sia troppo sottile per poter inserire la vite in titanio.
In questo caso il nostro studio dentistico applica una metodologia che permette di far ricrescere l'osso mancante con osso sintetico inerte, ambulatorialmente ed in tempi contenuti.

La tecnica implantologica può essere impiegata anche per fissare e dare stabilità a protesi mobili.

 

 

Vieni di persona ad una prima visita gratuita. Non ti costa nulla!

Per i tuoi denti e per il tuo sorriso è meglio avere un parere in più, diverso dal tuo solito dentista. Poi potrai decidere in libertà, con un quadro completo delle informazioni che ti servono!

Decideremo insieme il trattamento migliore per te! Vieni e valuta tu stesso!

Scegli di non essere più un paziente passivo, ma di avere un rapporto di piena collaborazione col tuo dentista: ti illustreremo le opzioni utili a risolvere il tuo problema e pianificheremo insieme la miglior soluzione!
Chiama, e prenota ora il tuo appuntamento!

 

 

Sorriso e Benessere

Studio dentistico

Via Paiette 4/B, Castelbaldo, 35040 PD - Tel. 0425.546612 / 347.4678811

E-mail: info@sorrisobenessere.it - P.IVA: 04345360285

Copyright © 2019 - Sorriso e Benessere - Castelbaldo

Produced by: SeoTrek - Padova

 

 

 

Torna a inizio pagina
Condividi su Facebook
Condividi su Linkedin
Condividi su Facebook Condividi su Linkedin Condividi su WhatsApp
Scrivi! Chiama! Whatsapp!
Indirizzo Via Paiette 4/B, Castelbaldo, PD                  Chiama! 0425.546612 / 347.4678811