Con il termine Odontoiatria Estetica si definisce un insieme di pratiche odontoiatriche che mirano al mantenimento di salute e bellezza del tuo sorriso!
Vediamole nel dettaglio, e scopriamo quale di queste si adatta meglio al tuo problema!

La placca batterica è responsabile di numerosi disturbi gengivali.
Infatti, anche lavandosi i denti in maniera ottimale e frequente, è inevitabile in alcune zone
l'accumulo di placca che poi si mineralizza e forma un'incrostazione tenace, il tartaro.
Questo è un grosso problema, perchè difficilmente lo si rimuove con lo spazzolino, e accumulandosi sempre più, incrementa i disturbi gengivali, che possono portare a carie, piorrea o gengiviti gravi.
La Pulizia Dentale professionale ha lo scopo di rimuovere queste incrostazioni di
placca e tartaro. Avviene sia sulla superficie dei denti, ma anche negli spazi interdentali e sotto le gengive.
Viene effettuato dal dentista tramite particolari strumenti che oscillano ad elevatissima frequenza, in modo da
frammentare questi depositi mineralizzati di placca e tartaro, riuscendo così a rimuoverli.
Si affina poi l'operazione con appositi strumenti manuali appuntiti, per eliminare eventuali residui anncora presenti.
Poi si effettua una Lucidatura dello smalto, che rimuove le macchie, ma serve soprattutto per eliminare zone irregolari e imperfezioni della superficie, per proteggere i denti da ulteriori accumuli di placca.
Infine, la seduta di pulizia professionale viene integrata con una Prevenzione personalizzata,
un dettagliato programma di istruzione alla corretta ed ottimale igiene orale casalinga.
In questo modo i tuoi denti rimangono sani e lucidi per molto tempo!
Lo Sbiancamento Dentale è ormai uno dei trattamenti estetici più noti e richiesti.
infatti, avere denti bianchi e sani è una delle caratteristiche estetiche più visibili
ed apprezzate, e quindi più ricercate.
Ma di cosa si tratta?
Con il termine Sbiancamento Dentale si intende ogni tipo di
trattamento che porta i denti ad apparire più bianchi.
Quali sono le cause di denti opachi o con cromaticità più scure?
I motivi possono essere diversi: l'assunzione di cibi o bevande particolari (caffè, the, coloranti
artificiali, liquirizia), o il fumo, o in alcuni casi addirittura condizioni
genetiche sfavorevoli.
Possiamo suddividere i trattamenti sbiancanti in due categorie, che ne determinano anche la complessità:
Viene effettuato dall'odontoiatra o dall'igienista dentale. Lo sbiancamento professionale solitamente può avvenire in due modi:
Questo trattamento si può effettuare a casa. Il metodo più diffuso consiste nell'applicare sulle arcate dentarie delle mascherine trasparenti in silicone.
Tali mascherine vengono prodotte dal dentista, personalizzandole con l'esatta forma delle arcate dentarie del paziente.
Queste sono molto simili alle mascherine usate in ambulatorio per il bleaching, e contengono perossido di carbammide ad alta concentrazione.
Mantenendole per un tempo variabile dai 30 minuti alle 4-8 ore e ripetendo l'operazione per circa una settimana, si ottiene un ottimo effetto sbiancante, paragonabile al bleaching fatto in studio.
Rientra nell'odontoiatria estetica anche la ricostruzione fedele del dente dopo un'otturazione.
Quando il dentista nella visita riscontra una carie nel dente del paziente, procede alla sua eliminazione.
Dopo aver tolto il tessuto malato questo viene sostituito con del materiale che ripristini l'integrità del dente, ossia del composito in strati e usando una sorgente di luce, per indurire il materiale.
Una volta che il materiale risulta indurito si rifinisce e si lucida l'otturazione, ridando un aspetto naturale al dente.
L'intarsio dentale è uno speciale restauro che si rende necessario nei denti molari e premolari, quando sono aggrediti dalla malattia cariosa in quantità estesa.
I materiali impiegati per la fabbricazione sono ceramica o resina
composita.
Viene costruito in laboratorio e poi cementato sul dente precedentemente preparato
per accoglierlo.
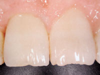
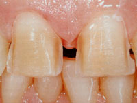
Le faccette estetiche sono gusci in ceramica che vengono applicati sulla superficie esterna dei denti anteriori per migliorarne colore e forma, ridando al paziente il piacere di sorridere!
L'impiego delle faccette è consigliato in caso di: denti usurati, aumento eccessivo di spazio tra i denti (diastemi), importanti pigmentazioni non risolvibili con sbiancamento, discromia tra i vari denti (variazione di colore), e variazioni di spessore mediamente superiori a 0,5 mm.
Preparazione dei denti per le faccette in ceramica
Faccette in ceramica applicate
Per i tuoi denti e per il tuo sorriso è meglio avere un parere in più, diverso dal tuo solito dentista. Poi potrai decidere in libertà, con un quadro completo delle informazioni che ti servono!
Scegli di non essere più un paziente passivo, ma di avere un rapporto di
piena collaborazione col tuo dentista: ti illustreremo le opzioni utili a risolvere il tuo
problema e pianificheremo insieme la miglior soluzione!
Chiama, e prenota ora il tuo appuntamento!