Protesi Fissa
e Mobile

 

Il nostro ambulatorio Sorriso e Benessere è all'avanguardia nelle procedure di protesi fissa e mobile, riuscendo a personalizzare su misura il servizio per ogni tipo di patologia e di fisiologia dentale.

Scopri come le metodologie di protesi possono aiutarti a risolvere il tuo problema.

Protesi Fissa 

Protesi Fissa

Con il termine Protesi Fissa si vuole indicare una procedura che ripristina con elementi in ceramica (o altra tipologia di materiale) il sorriso e la masticazione dei denti naturali non più integri perché rovinati da carie molto profonde o addirittura perchè mancanti.

Perchè è importante supplire a denti mancanti?

La mancanza di uno o più denti può mettere a rischio la salute orale, causando lo spostamento dei denti rimanenti, modificando la masticazione e di conseguenza anche la muscolatura, le ossa e l’articolazione.

L’insieme di queste problematiche è spesso causa di disagio nella vita delle persone, condizionando anche il rapporto con gli altri!

Per risolvere questo problema si costruiscono ponti o capsule.
I ponti sono piu’ capsule unite le une alle altre per rivestire spazi dove mancano diversi denti naturali, mentre la capsula è un singolo elemento che riveste un singolo dente .

Come si prepara una Protesi Fissa

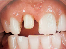
Preparazione del dente
Preparazione del dente prima dell'installazione

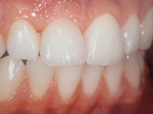
Installazione della corona
Installazione della corona (capsula)
 

 

Nella prima seduta, con un materiale morbido si prende un’impronta della bocca, che servirà per studiare e progettare le future capsule, nella maniera più fedele alla dentatura del paziente.

Poi successivamente si riducono di qualche millimetro i denti (pilastri), che sosterranno il ponte, creando elementi provvisori, in attesa dei definitivi che permettono al paziente una normale funzionalità masticatoria ed estetica.

Infine si prende l’impronta finale, con la quale verranno costruiti i denti definitivi.

 

 

Protesi Mobile

La Protesi Mobile è un dispositivo dentale che sopperisce alla mancanza parziale o totale di elementi dentari, di tipo rimovibile.

Le protesi mobili si dividono in 3 categorie: le protesi totali, le protesi parziali e le protesi scheletrate.

Protesi Mobile Totale

E' una soluzione indicata nel caso di mancanza di tutti i denti di una o ambedue le arcate dentarie, ed è costituita da denti artificiali prevalentemente in resina, che appoggiano su supporto resinato con colorazione uguale a quella della gengiva.

 

Protesi Mobile Parziale

E' una soluzione indicata nel caso di mancanza di tutti i denti di una o ambedue le arcate dentarie, ed è costituita da denti artificiali prevalentemente in resina, che appoggiano su supporto resinato con colorazione uguale a quella della gengiva.

 

Protesi Mobile Scheletrata

E' una soluzione indicata nel caso di mancanza di tutti i denti di una o ambedue le arcate dentarie, ed è costituita da denti artificiali prevalentemente in resina, che appoggiano su supporto resinato con colorazione uguale a quella della gengiva.

 

 

Vieni di persona ad una prima visita gratuita. Non ti costa nulla!

Per i tuoi denti e per il tuo sorriso è meglio avere un parere in più, diverso dal tuo solito dentista. Poi potrai decidere in libertà, con un quadro completo delle informazioni che ti servono!

Decideremo insieme il trattamento migliore per te! Vieni e valuta tu stesso!

Scegli di non essere più un paziente passivo, ma di avere un rapporto di piena collaborazione col tuo dentista: ti illustreremo le opzioni utili a risolvere il tuo problema e pianificheremo insieme la miglior soluzione!
Chiama, e prenota ora il tuo appuntamento!

 

 

Sorriso e Benessere

Studio dentistico

Via Paiette 4/B, Castelbaldo, 35040 PD - Tel. 0425.546612 / 347.4678811

E-mail: info@sorrisobenessere.it - P.IVA: 04345360285

Copyright © 2019 - Sorriso e Benessere - Castelbaldo

Produced by: SeoTrek - Padova

 

 

 

Torna a inizio pagina
Condividi su Facebook
Condividi su Linkedin
Condividi su Facebook Condividi su Linkedin Condividi su WhatsApp
Scrivi! Chiama! Whatsapp!
Indirizzo Via Paiette 4/B, Castelbaldo, PD                  Chiama! 0425.546612 / 347.4678811